成長期のスポーツ障害について

「引き起こす原因」「関係する原因」

「画像所見と痛みは一致しない」

レントゲン、MRI検査に写る○○は「原因とは言えない…」と言う研究論文が発表されます

この認識を持つドクターは多いのですが、未だ診察室での説明は昔と変わりません。

 

成長期のオスグッド病、スポーツ障害(野球肩、野球肘、鵞足炎、ジャンパー膝、腰痛…)も同じ事が言えます。

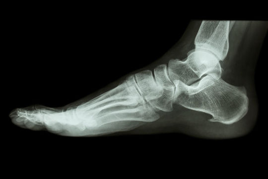
成長期のかかとの痛み

シーバー病は、画像に写る骨に成長線が走り、今にも剥がれそうな状態ですから「原因はこの軟骨部だ」と結論付けます。

しかし、全ての子ども達に異常が確認出来る訳ではありません。

当院へ訪れる子ども達の大部分は骨には異常はありません。

異常がなくても、

  • 強い痛みを訴える
  • 3年間、痛み続く小学6年生
  • 再発を繰返す野球少年 など

ですから、レントゲンに映る成長骨端核は痛みに関係する程度の事で、引起こす原因では無いと考えても良いでしょう。

大切な事は「関係する」と「引起こす」原因を判断する事です。

X線などの画像検査のみではなく問診を始め、徒手検査(動かす、伸ばす、叩く、抵抗運動)など、身体全体を見る事で因果関係(原因と結果、痛み)を理解しなければ本当の原因(引起こす原因)はわかりません。

身体全体を診る事が大切

『木を見て森を見ず』 この言技の意味をご存知でしょうか?

1本の木【痛み】を注視する余り、森全体【全身】を見る事には無関心です。

 

木を見る現代医療と森を見る整体との違いです。

子どもたちは出生から無償の医療制度に守られています。

レントゲン検査を否定する訳でもありませんが、いつの間にか病院、精密検査、薬、外科的処置の価値が高まり、データー本位の医療に走り過ぎているのでは?と疑問を抱きます。

何に置いても、基本は会話です。

子ども達とのコミュニケーションのみで6割くらいの原因がわかります。

ですから当院には病院、接骨院などでは改善、回復しない子どもたちが訪れます。

施術を受けたい方は…

ご来院までに下記➀から③の内容に目を通して頂くと施術効果が高まります。

施術当日の流れ

右脳で感じる回復

検査のウソ本当

治療院空海のご案内

空海は民間療法の整体院ですので保険診療は出来かねます。

予約制となっております。事前にご予約を済ませご来院ください。

営業時間

 
午前 10:00~13:00 ×
午後 15:00~21:00 ×

休 日:火曜日・第二、第四月曜日

地図/アクセス方法

お問合せ・ご予約はこちら

成長痛・スポーツ障害の改善を得意とします。まずは、お電話ください。

お気軽にお問合せください

お電話でのご予約・お問合せはこちら

058-322-4232

受付時間:10:00~12:00/15:00~21:00

休 日 :火曜日第2、4月曜日

岐阜市・大垣市・各務原市・本巣市・関市・郡上市・高山市・一宮市・名古屋市・桑名市・四日市市など近県地域、岐阜羽島IC、JR東海を利用して県外【愛知県、三重県、滋賀県、福井県、石川、静岡)からも多くの患者さまにお越しいただいております。ありがたいことです。

パソコン|モバイル
ページトップに戻る