シーバー病/かかとの痛み

【症例】野球とサッカーの両立

【症例】シーバー病

野球とサッカーの両立①

長谷川凌くん【11】兵庫県/野球、サッカー

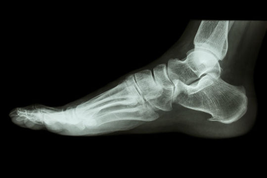
「このトゲが強い痛みの原因です」と整形外科の先生が言います。

「安静にしている事が一番です」と言われ、湿布をもらい練習を休む決断をします。

 

痛みに変化が見られず、接骨院でヒールカップインソールを作ります。

5ヵ月間、痛みに変化はなく、夏休みを利用し当院へいらっしゃいました。

サッカーと野球の二刀流ですので、身体を休ませる日がありません。

兵庫県のとある接骨院にて…

「ヒールカップインソールを装着すれば大丈夫」と言われ、オーダーメイドで注文をします。

グラスファイバーで作られたヒールカップインソールは、かかとへの衝撃を吸収してくれる特性があり「装着したその時からかかとの痛みはすぐ消える」と言われます。

「どう思いますか?」

お母さんから質問されたのでこのように答えました。

 

「今まで調べた事、やって来た事ことを一度リセットしましょう」

  • 常識と言われる事
  • シーバー病の知識と情報
  • 権威ある先生に指示された事

全てを白紙に戻します。

 

5か月間も痛みに変化がないという事は的が外れています。

そして、原因はトゲ(棘)では無いケースがよくあります。

かかとに小さな何かが写ったとしても、それは原因にはならず関係するかもしれない程度の事です(骨のヒビ、骨折などの外傷は別とします)

 

「ヒールカップインソールは正しい、間違いはわかりません。

装着してシーバー病の痛みがゼロになれば、その子にとってはYESです。

 

しかし、当院へ来られる子ども達にはヒールカップインソール、サポーター、湿布など、全て止めて頂いています。

なぜなら、痛みの感覚を麻痺させるアイテムなどに治癒効果は認められないからです。

逆に無理をする事から痛みがひどくなる方もいらっしゃいます。

 

指導されるストレッチ運動なども同様に治癒にブレーキをかけるケースがあります。

 

※施術効果には個人差があります。

シーバー病の施術をご希望の方へ

お電話にて「予約をしたいです」とお伝えてください。

ご来院までに下記内容に目を通して頂くと施術効果が高まります。

治療院空海のご案内

空海は民間療法の整体院ですので保険診療は出来かねます。

予約制となっております。事前にご予約を済ませご来院ください。

営業時間

 
午前 10:00~13:00 ×
午後 15:00~21:00 ×

休 日:火曜日・第二、第四月曜日

地図/アクセス方法

お問合せ・ご予約はこちら

「どこへ行っても良くならない」とあきらめる前にご相談ください。

お気軽にお問合せください

お電話でのご予約・お問合せはこちら

058-322-4232

住所:岐阜県羽島市桑原町東方1055-1

時間:10:00~12:00/15:00~21:00

休日:火曜日第2、4月曜日

完全予約制・駐車場あり・羽島ICより南へ9分

岐阜市・大垣市・各務原市・本巣市・関市・郡上市・高山市・一宮市・名古屋市・桑名市・四日市市など近県地域、岐阜羽島IC、JR東海を利用して県外【愛知県、三重県、滋賀県、福井県、石川、静岡)からも多くの患者さまにお越しいただいております。ありがたいことです。

パソコン|モバイル
ページトップに戻る